Software Affirm® Contrast Biopsy

La combinazione della capacità diagnostica del mezzo di contrasto e l’accurata localizzazione dei target consente un flusso di lavoro continuo e procedure di biopsia mammaria efficienti.

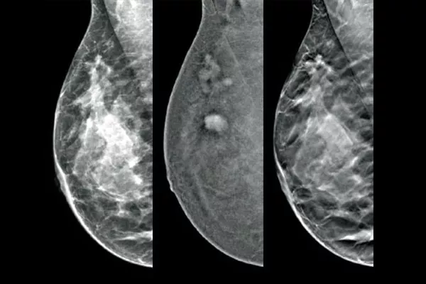
Mammografia 3D con contrasto sullo schermo di un computer

    Panoramica

    Documenti

    Formazione

    Una visione più chiara per la biopsia mammaria

    La soluzione Affirm® Contrast Biopsy consente di localizzare e prelevare il tessuto mammario in corrispondenza delle lesioni evidenziate durante la mammografia con contrasto (CEM).Progettata per ottimizzare l'efficienza del flusso di lavoro migliorando al contempo l'esperienza della paziente, la soluzione completa per biopsia con contrasto semplifica la procedura* anche nei casi più complessi.

    Biopsia con contrasto

    Procedura stereotassica per localizzare e sottoporre a biopsia le lesioni evidenziate dalla mammografia 2D con mezzo di contrasto, con prestazioni diagnostiche comparabili alla procedura di biopsia mammaria sotto guida RM.1,2 Confronto delle immagini post-marcatore nella stessa modalità dell’esame diagnostico iniziale con contrasto.

    Efficienza nel flusso di lavoro

    La possibilità di effettuare la biopsia nella stessa sala della diagnostica per immagini migliora l’esperienza delle pazienti. La combinazione del software Affirm Contrast Biopsy e del sistema per biopsia mammaria in posizione verticale Affirm Upright offre un flusso di lavoro analogo a quello della biopsia stereotassica.

    Migliore esperienza per la paziente

    La procedura più breve, tollerabile e accessibile rispetto alla risonanza magnetica migliora l’esperienza della paziente.2,3 L’esame si svolge in un ambiente familiare, con la stessa apparecchiatura utilizzata per la mammografia diagnostica

    Illustrazione del Breast Health Continuum of Care di Hologic con la radiologia

    Sbloccare il vantaggio del tempo

    Il Breast Health Continuum of Care presenta soluzioni integrate per offrire affidabilità clinica, efficienza operativa e una maggiore attenzione alle esigenze delle pazienti. Permette a più donne di vivere più a lungo in condizioni di salute migliori.

    Il software Affirm Contrast Biopsy fa parte delle Soluzioni per Biopsia Hologic.

    Maggiore affidabilità diagnostica

    Il software per biopsia con mezzo di contrasto consente di sottoporre a biopsia le lesioni identificate durante la mammografia 2D con contrasto I-View™. Sfruttando la capacità di generare immagini 2D, con contrasto e di tomosintesi con un'unica compressione,4 il sistema di guida per biopsia mammaria in posizione verticale Affirm consente di passare rapidamente dalla mammografia alla biopsia, sfruttando la stessa catena di imaging 5 del sistema mammografico per migliorare la visualizzazione 3D™ delle lesioni sospette.**

    Immagine di una paziente nella sala per la biopsia mammaria

    Visitate il nostro ospedale virtuale

    Sfogliate il nostro catalogo di soluzioni in 3D per la salute del seno. Scoprite le soluzioni per sbloccare il vantaggio del tempo con il Breast Continuum of Care.

    Scoprite la nostra soluzione completa per la biopsia con mezzo di contrasto

    Il software Affirm® Contrast Biopsy, in combinazione con I-View™ per l'imaging con contrasto e il sistema per biopsia mammaria in posizione verticale Affirm Upright aumenta l'efficienza delle procedure di biopsia mammaria.

    Un'alternativa efficiente ed economica alla risonanza magnetica

    L'imaging funzionale con la CEM si dimostra superiore alla risonanza magnetica offrendo una sensibilità comparabile, una specificità maggiore e un valore predittivo positivo più alto. 7,8 Inoltre, rispetto alla RM, la CEM offre un'alternativa più economica 9 e una procedura più breve.7,10

    Accessorio per biopsia verticale con braccio laterale Affirm collegato a un gantry 3Dimensions.

    Evidenze. Approfondimenti. Collaborazione.

    Il nostro portale formativo migliora la cura del paziente grazie all'eccellenza della formazione, alla comunicazione delle evidenze cliniche e scientifiche e alla collaborazione con la comunità sanitaria.

    Approfondimenti

    Radiologi che esaminano una mammografia con tomosintesi su un monitor Radiologi che esaminano una mammografia con tomosintesi su un monitor

    Risultati dello studio ToSyMa, un futuro in 3D nello screening per i tumori della mammella

    Donne sedute davanti a un mammografo a fianco di un operatore sanitario. Donne sedute davanti a un mammografo a fianco di un operatore sanitario.

    Lo screening della mammella e della cervice uterina oggi e in futuro

    Medico e paziente che parlano del tumore della mammella Medico e paziente che parlano del tumore della mammella

    Interventi non chirurgici mini-invasivi per il tumore della mammella

      * Rispetto alle procedure di RM. 
        ** Rispetto alla biopsia stereotassica vuoto assistita in posizione prona.

      1. Alcantara R, Posso M, Pitarch M, et al, Contrast-enhanced mammography-guided biopsy: technical feasibility and first outcomes. Eur Radiol. 2023 Jan;33(1):417-428.
      2. Kamal R, Mansour S, Farouk A et al, Contrast-enhanced mammography in comparison with dynamic contrast-enhanced MRI: which modality is appropriate for whom?, Egypt J Radiol Nucl Med 52, 216 (2021)
      3. Hobbs MM, Taylor DB, Buzynski S, et al. Contrast-enhanced spectral mammography (CSEM) and contrast enhanced MRI (CEMRI): Patient preferences and tolerance. J Med Imaging Radiat Oncol. 2015;59(3):300-305.
      4. Chou C, Lewin J, Chlang C et al. *Clinical Evaluation of Contrast-Enhanced Digital Mammography and Contrast Enhanced Tomosynthesis-Comparison to Contrast- Enhanced Breast MRI* Eur J Radiol. 2015 Dec; 84(12):2501-8. [Epub 2015 Oct1].
      5. Schradling S, Distelmaier M, Dirrichs T et al. Digital Breast Tomosynthesis-guided Vacuum-assisted Breast Biopsy: Initial Experiences and Comparison with Prone Stereotactic Vacuum-assisted Biopsy. Radiology. 2015 274:3,654-662.
      6. PLN-10394_001_01 – Affirm Contrast Biopsy Study.pdf.
      7. Li L, Roth R, Germaine P, et al. Contrast-enhanced spectral mammography (CESM) versus breast magnetic resonance imaging (MRI): A retrospective comparison in 66 breast lesions. Diagn Interv Imaging. 2017;98(2):113-123
      8. Xing D, Lv Y, Sun B, et al. Diagnostic value of contrast-enhanced spectral mammography in comparison to magnetic resonance imaging in breast lesions. J Comput Assist Tomogr. 2019;43(2):245–251
      9. Patel B, Gray R, Pockaj B, et al. Potential Cost Savings of Contrast-Enhanced Digital Mammography. AJR Am J Roentgenol. 2017;208(6):W231-W237.
      10. Coffey K, Jochelson MS. Contrast-enhanced mammography in breast cancer screening. Eur J Radiol. 2022;156:110513.

      Schede di Dati di Sicurezza

      Fogli illustrativi

      2797
      0482

      Hologic BV, Da Vincilaan 5, 1930 Zaventem, Belgium.

      Numero dell'organismo notificato ove pertinente

      Questo sito è rivolto esclusivamente a professionisti del settore sanitario